Understanding Pulmonary Interstitial Emphysema

U.Realtypath 31 views
Understanding Pulmonary Interstitial Emphysema

Understanding Pulmonary Interstitial Emphysema

Hey everyone! Today, we’re diving deep into a condition that might sound a bit intimidating, but understanding it is crucial for those affected and their loved ones. We’re talking about Pulmonary Interstitial Emphysema (PIE) . Now, the name itself gives us a clue, doesn’t it? “Pulmonary” relates to the lungs, “interstitial” refers to the space between things – in this case, the tiny air sacs (alveoli) and the blood vessels within the lungs – and “emphysema” generally points to abnormal air spaces. So, put it all together, and PIE is essentially a condition where air gets trapped in the interstitial space of the lungs, causing them to become overinflated and stiff. It’s not your typical emphysema, often seen in smokers; PIE has its own unique set of causes and characteristics, particularly in infants and sometimes in adults with specific underlying conditions. We’ll break down what causes it, how it shows up, and what can be done about it. Get ready to get informed, guys, because knowledge is power when it comes to health!

What Exactly is Pulmonary Interstitial Emphysema?

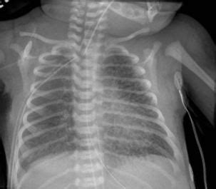
Alright, let’s get into the nitty-gritty of what Pulmonary Interstitial Emphysema (PIE) actually is . Imagine your lungs as a bunch of tiny balloons, right? These are your alveoli, where the magic of gas exchange happens – oxygen in, carbon dioxide out. Now, surrounding these balloons is a delicate framework, a sort of support structure made of connective tissues and small blood vessels. This framework is what we call the interstitium. In PIE, something goes wrong, and air, instead of just staying within the alveoli, starts to leak out and collect in this interstitial space. Think of it like a slow leak in a balloon that starts to inflate the area around the balloon, rather than just the balloon itself. This trapped air can then compress the tiny airways and blood vessels, making it harder for air to flow in and out of the lungs and for oxygen to get into the bloodstream. This compression and stiffening is what causes the breathing difficulties associated with PIE. It’s a bit like trying to breathe through a straw that’s been squeezed – not easy!

One of the key distinctions of PIE is its common association with infants , especially premature babies who have undergone mechanical ventilation. Their lungs are still developing and are incredibly fragile. When they need help breathing, the positive pressure from ventilators, while life-saving, can sometimes force air into the interstitial spaces if there are tiny tears or weaknesses. This is often referred to as acquired PIE in neonates. However, PIE isn’t exclusive to newborns. It can also occur in adults, although it’s much rarer. In adults, it’s often linked to underlying lung diseases like cystic fibrosis, or it can be a complication following lung transplantation or certain types of lung surgery. The core issue remains the same: air escaping its normal pathways and accumulating where it shouldn’t be, leading to compromised lung function. So, while the underlying cause might differ, the effect on the lungs is a shared pathway of damage and difficulty breathing.

Causes and Risk Factors for PIE

So, what exactly causes this sneaky condition, Pulmonary Interstitial Emphysema ? The primary culprits often depend on whether we’re talking about babies or adults. In neonates , particularly premature infants, the main driver is often the need for mechanical ventilation . Premature lungs are underdeveloped, with weaker alveolar walls. When a baby is on a ventilator, the machine provides breaths with positive pressure. While essential for survival, this pressure can sometimes be too much for these delicate lungs, forcing air to dissect through the lung tissue into the interstitial spaces. This is especially true if the baby also has other lung conditions like respiratory distress syndrome (RDS) or meconium aspiration syndrome, which can further weaken the lung structure. It’s a bit of a Catch-22 situation – the life support can, in some instances, contribute to the problem.

Beyond ventilation, other factors in newborns can play a role. Congenital lung abnormalities or conditions that cause inflammation and damage to the airways can predispose infants to PIE. Sometimes, even prolonged periods of positive pressure ventilation without a ventilator, like using a CPAP (Continuous Positive Airway Pressure) machine, can, in rare cases, contribute. It’s all about that delicate balance between providing enough support to breathe and not overwhelming fragile lung tissue. We’re talking about tiny lungs here, guys, so even small forces can have a significant impact.

Now, shifting gears to adults , the causes of PIE are quite different and generally less common. One significant factor is lung transplantation . When a lung is transplanted, the delicate tissues are under immense stress, and air leaks can occur. Post-operative complications following lung surgery can also lead to PIE. Another important cause in adults is cystic fibrosis . In this genetic disorder, thick mucus can block airways, leading to air trapping and, in some cases, damage that allows air to escape into the interstitium. Other chronic lung diseases that cause significant inflammation and scarring, like interstitial lung diseases or certain types of pneumonia, can also weaken the lung structure enough to allow PIE to develop. It’s less about external pressure and more about internal lung damage paving the way for air to go rogue. So, while the end result is similar, the journey to getting PIE can be quite distinct depending on your age and overall health.

Symptoms and Diagnosis of PIE

Spotting Pulmonary Interstitial Emphysema (PIE) isn’t always straightforward, as the symptoms can mimic other respiratory issues, especially in infants. However, doctors are trained to look for specific clues. In newborns , persistent respiratory distress that doesn’t improve with standard treatments is a major red flag. This can manifest as rapid breathing (tachypnea), grunting sounds with each breath, nasal flaring, and a bluish tint to the skin (cyanosis) due to low oxygen levels. You might also notice that the baby’s chest seems unusually distended or